Hammertoe Surgery
Home / Hammertoe Surgery
Specialists at Downtown Podiatry Physicians
What are hammertoes?
Hammertoes Symptoms
Hammertoes and mallet toes are two different conditions but it’s not uncommon for them to occur together. When a person has a hammertoe, the middle joint of the toe is affected. A mallet toe happens when the joint closest to the toenail is affected. Both joints are affected in the same way, so hammertoe and mallet toe are the same condition, they just affect different joints.
Types of Hammertoes
Hammertoes come in differing levels of severity, which puts them into three classifications.
Flexible
Hammertoes
Semi-rigid
Hammertoes
Rigid
Hammertoes
Hammertoe Symptoms
Hammertoe is easy to spot because it’s a physical deformity that changes the shape of the toe and how it lies in relation to the ground. Visual symptoms are usually the first clue that something is happening and that a hammertoe is developing. In addition to seeing physical changes in your toes, hammertoes and mallet toes can cause pain or blisters from rubbing inside of shoes and eventually those sore spots toughen up and form calluses. Look for these hammertoe symptoms:
- Toe joints don’t move like they used to
- You feel pain at the top of a bent toe
- The ball of your foot is sore
- You start developing blisters, corns, or calluses on the top of your toe joints
- There is redness, inflammation, or a burning sensation in your toes
- You have an open sore on the top of your toes
What Causes Hammertoes?
Regular wearing of high-heeled shoes or shoes that have a pointy, tight, or short toe box that crowds the toes and forces them into unnatural positions.
An injury to the foot, even just stubbing your toe with significant force, can damage the digit and make it less stable, which overtime can lead to hammertoe.
If your gait is compromised, then you’re not getting the natural stability you should when walking. This can lead to your toes compensating by constantly gripping, leading to repetitive use injuries and potential hammertoe situations.
Having bunions can push the great toe into the others and cause the other toes to adapt in a way that promotes the development of hammertoes.
Several different conditions and diseases can cause your muscles, nerves, and joints to be weakened or damaged. When these structural elements of the foot aren’t working correctly, it’s possible for hammer and mallet toes to develop.
Hammertoe Risk Factors?
There are a few factors which seem to increase your odds of developing hammertoes, unfortunately, there’s nothing you can do to remove these risk factors.
Age: Hammertoe and mallet toe conditions tend to be seen more frequently in older people.
Gender: Women are more likely to develop hammertoes than men are. While there isn’t complete agreement in this area, it could be that women are more likely to wear ill-fitting shoes Changing to a more accommodating shoe on a regular basis can decrease the odds of developing hammertoes.
Toe length: If your second toe is longer than your big toe, then there is a higher risk of you developing hammertoe in this digit.
Certain diseases: Having diabetes and arthritis can increase your odds of developing hammertoes. Both of these diseases require routine attention to the feet and toes to prevent further health complications.
Heredity: It does appear that heredity plays some role in the development of hammer toes.
Hammertoe Prevention
In some situations, doing foot and toe strengthening exercises can build health in the muscles and joints of the foot, which may delay the progression or development of hammertoes.
One of the biggest steps you can take, if you want to prevent the development of hammertoes or mallet toes, is wearing shoes that fit properly.
Hammertoe Treatment
While physical therapy or foot exercises and better shoe choices can help prevent hammertoes, they’re also a big part of your treatment options. If your deformity has progressed even further and you’re in the rigid stages of hammertoe, then exercises may not be an option. In these situations, surgery is the best hammertoe treatment available.
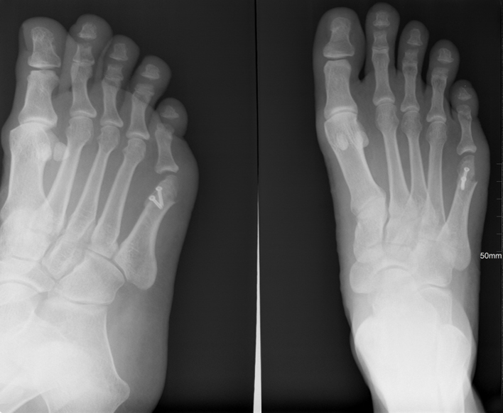
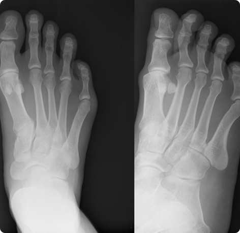
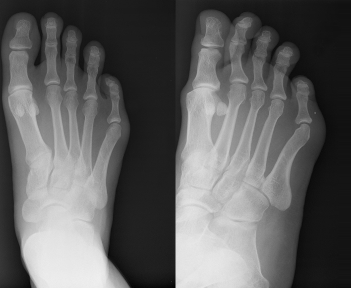
Hammertoe Treatment
Pre op AP view hammer toes 2-5
Post op oblique and AP views hammer toes 2-5
Pre op oblique view - hammer toes #2 and 3
Post op AP view hammer toes 2-5
freestar freestar Lorem ipsum dolor sit amet
Conservative Hammertoe Treatment
Using different pads and taping toes can provide your toes the support they need to normally function and can delay progression of hammertoes.
Much like using padding and tape, a splint forces the toe into the correct position and may help slow the progression of any deformities.
Customized orthotics and shoe inserts provide support that’s designed to help your foot function in a normal fashion.
Taking over-the-counter or prescribed pain medications may be part of your treatment plan. This is not a cure nor a fix for hammertoes and other treatment will be necessary, but it will relieve some symptoms.
One effective way to relieve pain is by having cortisone or other steroid shots in the affected joints.
As mentioned previously, working on strengthening or maintaining strength in your feet can be a key aspect of foot health.
If your hammertoe is the result of diabetes, arthritis, or any other health condition, part of your treatment plan will be to address the contributing illness as well. All-over health is a critical part of having healthy feet and our doctors want you to live the healthiest life possible.
Hammertoe Surgical Options in New York City
When your hammertoes have reached a stage where conservative treatment is not enough, then hammertoe surgery is the best solution. If you live in the downtown New York City area, our podiatrists are poised to give you the best surgical solution for your hammertoes with the fastest recovery time and the least amount of pain. Hammertoe surgery options include:
Proximal Interphalangeal (PIP) joint fusion: This is the most common hammertoe procedure. In this surgery, the toe is straightened, stabilized and the bones are permanently fused together so they cannot slip out of position again.
Tendon Transfer: It’s the tendon in your toe that is responsible for pulling it into correct position. If the tendon is in the wrong place, it can be pulling on the toe incorrectly. By transferring the tendon to a different position, the toe is pulled straighter and muscle weakness is addressed.
Joint resection: Joint resection involves removing part or all of the joint to relieve symptoms and to help straighten the toe. During this surgery there may also be some shaping and removing of ligaments, tendons, and bone for the best results.
Amputation: Obviously not a primary course of action, amputation of all or part of the toe is the best solution in rare situations. People who have this surgery often report positive surgical outcomes and relief from their chronic pain but this is, again, a procedure used in very rare situations when other options fail.
What to Expect When Having Mallet or Hammertoe Surgery at Downtown Podiatry Physicians
Before your surgery, your doctor will discuss the procedure in detail. This gives you a chance to ask any questions you might have. It also lets the doctor know more about your lifestyle, activity level, and overall health so you can have a customized treatment plan.
Before you schedule surgery, it’s important that you have arranged for transportation home from your procedure. The night before surgery, you will be asked to cease eating and drinking to prepare your body for the anesthesia. You might want to prepare clothing that’s comfortable and easy to get in and out of.
You will be asked to arrive an hour or two before surgery for preparation. During this time there will be some additional paperwork to complete and you will once again walk through the procedure with your surgery team. Most hammer toe surgeries are performed on an outpatient basis.
Hammer surgeries are typically performed with local anesthesia, which is a numbing agent for the toe and surrounding region. There is also a relaxing anesthesia that’s given to help you feel comfortable during the procedure.
You will not be able to drive home after your surgery. This no-driving order will be in place for several days post-surgery. It’s best to check with your doctor to see when they believe you’ll be able to drive safely.
You’ll receive a boot to protect your foot after surgery and that boot should remain on as much as possible. You may also want to arrange your home so it’s easy for you to move about bumping into objects. Crutches, a walker, wheelchair, or leg scooter may be provided, but they’re not always necessary.
Your medical team will schedule a series of appointments for you after your surgery to make sure you’re progressing as expected and to prevent complications. These appointments are very important and will include x-rays, dressing changes, exercises to begin working on range of motion, pain medications if necessary, and could include splinting or a toe spacers.
State-of-the-art Treatment Facility











Feedback
Patient Testimonials
Success stories powered by our expert coaching and cutting-edge training technology.
“Dr. Giustiniano and the entire staff at Downtown Physicians are top-notch, and they seem to genuinely care about their patients and each other. Working with Dr. Giustiniano has been a sincere joy. Her ability to apply her deep knowledge of podiatry with a delightful, personal touch puts her in a league of her own. She is clearly very passionate about her craft and invites you to be passionate with her, making every visit refreshingly therapeutic and educational.” – A.S
— Downtown Physicians are top-notch
Absolutely loved my experience! Dr. Mehta was very kind and listened to what I had to say. I left with more knowledge of what is going on and a treatment plan of how to improve my situation. Really happy to find such a caring and compassionate doctor! – A.P.
— Dr. Mehta was very kind and listened
Our Blog
Latest Articles & Insights
Discover helpful tips, expert advice, and news to keep your feet healthy and pain-free.