Bunions Treatment
Home / Bunions Treatment
Specialists at Downtown Podiatry Physicians
If you’re having foot pain or have noticed that your feet are beginning to look different, you might have bunions forming. Bunions are common and there are many different treatment options. If you are looking for bunion treatment in New York City or the surrounding area, contact Downtown Podiatry Physicians today to schedule an appointment. Our top-rated bunion experts are ready to help you find a customized solution to your bunions.
Dr. Madhuri Mehta, DPM
Foot & Ankle Surgeon
Dr. Marisa Giustiniano, DPM
Foot & Ankle Surgeon
Dr. Jason Snyder, DPM
Foot & Ankle Surgeon
What are Bunions?
Many people have heard the word bunion, but don’t quite understand what it is. A bunion is a bony bump that typically forms at the base of your big toe where the joint is located. This is the metatarsophalangeal (MTP) joint. Bunions are also called hallux valgus, but most people simply refer to them as bunions.
While bunions are located on your big toe, some people get bunionettes, which are smaller and they occur on the opposite side of your foot, at the joint where the little toe meets the body of your foot. Sometimes, you’ll hear bunionettes referred to as a tailor’s bunion, this is because tailors were known to sit cross-legged for hours, putting added pressure on their little toes and their feet, which may have been a contributing factor to the bunions on their pinky toes.
Bunion Symptoms
Most people begin to notice some changes in the shape of their foot as the first signs of bunions. There appears to be a bulge at the “knuckle” on the big toe and the top of the big toe migrates toward the smaller toes. In severe cases, the shifting of the big toe is quite pronounced, and it can even overlap (or underlap) other toes.
It’s not uncommon for the individual to see redness where the bunion is located and to feel some bunion pain as well. But it should be noted that not everyone feels bunion pain, especially in the very early stages. These bunion symptoms are individual in nature, which is why it’s important to seek medical attention to determine the severity of your bunions and bunionettes.
Some bunion symptoms include:
- Bulging bump on the base of your big toe
- Swelling at the base of the big toe
- Redness to the skin in that region
- Soreness or a warm feeling at the MTP joint
- Corns and calluses where the bulge is or where the first and second toes rub together
- Ongoing foot pain
- Pain in the feet that comes and goes
- Loss of mobility or limitations of the big toe
- Big toe begins overlapping (or underlapping) other toes
- Changes in gait
Bunionette symptoms are all very similar, but they occur on the other side of the foot, and mainly involve the little toe.
What Causes Bunions?
If you’re wondering what causes bunions, there are a few different factors that can come into play. And, for many people, it’s more than one thing that causes them to have bunions or causes their bunions to worsen.
- Genetics can play a large part in whether you develop bunions
- Swelling at the base of the big toe
- Redness to the skin in that region
- Soreness or a warm feeling at the MTP joint
- Corns and calluses where the bulge is or where the first and second toes rub together
Bunion Risk Factors?
If you’ve been told your shoes will cause bunions, then you might be surprised that we left them off the list above. This is an area of debate and controversy, so we’ll consider them a risk factor. But if you look at images of women who have severe bunions and who often wear pointed-toe, high-heel shoes, you can see that their feet have developed a shape that is very similar to that of their shoes. Of course, there are other bunion risk factors as well. If you have or do any of the following, you might be putting yourself at greater risk of developing bunions in the future.
- AWearing high heels and/or shoes with pointed toes
- Wearing shoes that are too tight, too narrow in the toe box, or too short
- Having rheumatoid arthritis
- Autoimmune disorders that attack your joints specifically
- Heredity can make you predisposed to developing bunions
- Being overweight can put more stress and pressure on your feet
- Fallen arches can lead to improper alignment and joint strain
- Occupations that have you standing for long periods of time (or all day) put you at greater risk of developing bunions
- Ballet dancing, especially dancing on toe, puts great strain on your feet and toe joints
Bunions Prevention
If you know that you’re predisposed to getting bunions because your parents have them, you have some joint issues, or you fall into one or more of the risk categories, then bunion prevention should cross your mind. While our podiatrists are very good at handling bunions and can help you feel better, we’d love to see you promote healthy feet naturally. You’ll even find that we do suggest some of these prevention methods to our patients when we see them in the early stages of bunion development. It’s a situation where a little prevention goes a long way toward keeping your feet healthy and avoiding pain.
If you want to prevent bunions or at least slow their development, try the following:
- Proper shoe choices that include low heels and a wider toe box
- Try on shoes late in the day because your feet are usually swollen and more tired so you get a better gauge on what will be comfortable
- Shoe inserts can help give your foot support and proper alignment
- Take breaks if you must stand for long periods of time
- Try sitting, if there is a way to do this, while you do your job – at least part of the time Lose weight
- Stay on top of any arthritic conditions and see a doctor to get appropriate treatment in the early stages
Bunion Risk Factors?
Bunions at first can seem like a slight concern or something that’s no big deal. Unfortunately, bunions get worse over time. This means that visiting our office and seeing one of our foot doctors early on will lead to a better prognosis. Early treatment can help you avoid the following bunion complications that can develop if your condition is left untreated.
- Bursitis or irritation of the bursa and subsequent pain
- Lack of toe mobility which makes walking normally difficult or impossible
- Arthritis of the big toe
- Hammertoe, or a bend in the middle joint of your second toe
- Metatarsalgia which is swelling and pain in the ball of your foot
- Damage to other toes due to overlapping and pressure
Bunionette symptoms are all very similar, but they occur on the other side of the foot, and mainly involve the little toe.
Bunion Treatment
There are many different treatment options for people suffering from bunions, from conservative options to surgical bunion repair. Typically, if caught early enough, conservative treatments will suffice for a while. But there is no reason to fear bunion surgery as it is a very common procedure, our doctors are incredibly skilled, and the results can give you a lifetime of pain relief.
Bunion Surgical Options in New York City
If your bunions don’t respond well to conservative treatment or they’re more advanced, then bunion surgery will be the next step. This is a wonderful solution to people who constantly experience pain and inflammation, have significant movement of their big toe over the smaller ones, or people who have lost mobility in their big toe.
Outpatient Bunion Surgery Options
Most of these procedures can be handled on an outpatient basis. We do consider each patient on an individual basis, so there may be some additional considerations for your case.
Cheilectomy or Bunionectomy
A cheilectomy is sometimes referred to as a bunionectomy, and it’s the surgical removing of the bony lump or the bunion. Each situation is different as are recovery periods, but best results after surgery in our office will lead to greater mobility and a significant improvement in your pain symptoms.
Lapiplasty Bunion Surgery
One of the newest options for bunion surgery is one of the best solutions. Lapiplasty involves using an implant that considers the foot from a three-dimensional (3D) perspective. Lapiplasty involves the least recovery time and focuses on the root cause of your bunion. To get the rest results, lapiplasty implants fix the unstable joint at the base of the toe to correct the rotation and give you permanent relief. If this sounds like a good and permanent solution to your bunion issues, visit our offices to learn more.
Arthrodesis for Bunions
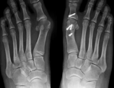
Arthrodesis is typically a surgery that’s done on severe bunions and on people with arthritis. Your doctor will remove the affected joint surfaces and then rely on plates, screws, and possibly wires to hold bone together around the removed joint until the bones have a chance to heal.
Osteotomy Surgery for Bunions
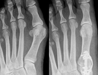
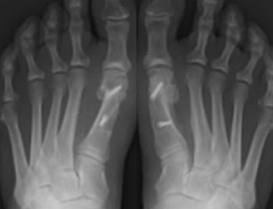
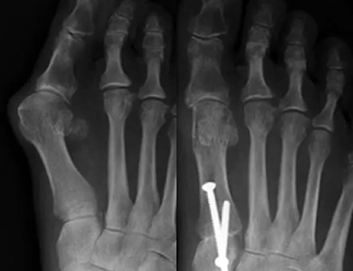
An osteotomy can be performed for other conditions, not just bunions. The term osteotomy refers to any surgery where bones are reshaped, but when talking about bunions, an osteotomy is performed to remove a bit of bone to help realign the toe and support the joint. Typically, pins and screws will be used to support the newly aligned bone and to keep the toe straight.
Exostectomy Bunion Surgery
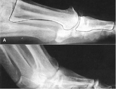
An exostectomy is the surgery to remove the bony bump that defines the bunion. This surgery is often just one part of the bunion surgery and is paired with soft tissue procedures and a technique to straighten the toe and support joint health. Removing the bunion lump alone will not solve the problem. As you can see from x-rays, bunions include significant shifts in how the toe bone lies. To fully solve a bunion, other steps must be taken to straighten the toe.
Bunion Resection Arthroplasty
With this procedure, our doctors will remove damaged joint tissue to create more space between the joints. This is considered a last chance surgery because it can change the gait significantly. It’s not one that’s used as a first approach or on young patients.
What to Expect When Having Bunion Surgery at Downtown Podiatry Physicians
Rest assured, you are in the best hands possible when you trust Downtown Podiatry Physicians for your bunion surgery. Dr. Madhuri Mehta is a top-rated surgeon who has performed thousands of surgeries. She is often called upon to lecture on her advanced techniques and the superior results her patients experience.
Customized treatment plan: Before your surgery, your doctor will discuss the procedure in detail and take your lifestyle, activity level, and overall health into consideration. This will lead to a customized plan that is designed to give you the best results possible. Any and all questions will be addressed before the surgery.
Before surgery: The night before surgery, you will be asked to cease eating and drinking to prepare your body for the anesthesia. You might want to prepare clothing that’s comfortable and easy to get in and out of.
On surgery day: You will be asked to arrive an hour or two before surgery for preparation. During this time there will be some additional paperwork to complete and you will once again walk through the procedure with your surgery team.
Anesthesia: Most bunion surgeries are performed with local anesthesia, which is a numbing agent for the toe and surrounding region. There is also a relaxing anesthesia that’s given to help you feel comfortable during the procedure.
Protection: Most patients will receive a boot to protect their foot and that boot should remain on as much as possible. You may also want to arrange your home so it’s easy for you to move about bumping into objects. Crutches, a walker, wheelchair, or leg scooter may be provided, but they’re not always necessary.
No driving: You will not be able to drive home after your surgery, please make arrangements to have someone drive you home. You also will not be able to drive for a few days post-surgery. It’s best to check with your doctor to see when they believe you’ll be able to drive safely.
Post-surgery appointments: Your medical team will schedule a series of appointments for you after your surgery to make sure you’re progressing as expected and to prevent complications. These appointments are very important and will include x-rays, dressing changes, exercises to begin working on range of motion, pain medications if necessary, and could include splinting or a toe spacer.






Feedback
Patient Testimonials
Success stories powered by our expert coaching and cutting-edge training technology.
“Dr. Giustiniano and the entire staff at Downtown Physicians are top-notch, and they seem to genuinely care about their patients and each other. Working with Dr. Giustiniano has been a sincere joy. Her ability to apply her deep knowledge of podiatry with a delightful, personal touch puts her in a league of her own. She is clearly very passionate about her craft and invites you to be passionate with her, making every visit refreshingly therapeutic and educational.”
— A.S
Absolutely loved my experience! Dr. Mehta was very kind and listened to what I had to say. I left with more knowledge of what is going on and a treatment plan of how to improve my situation. Really happy to find such a caring and compassionate doctor!
— A.P.
Meet
Dr. Madhuri Mehta
Dr. Mehta is a board qualified foot and ankle surgeon who recently completed her three-year surgical residency training at NYP Brooklyn Methodist Hospital. Dr. Mehta attended The Ohio State University and received her undergraduate Bachelors of Science degree in Biology and minored in women studies. She later obtained her doctorate from Barry University School of Podiatric Medicine.
Training & Memberships
- American College of Foot and Ankle Surgeons
- American Podiatric Medical Association
- Florida Podiatric Medical Student Association
- Basic Life Support and Advanced Cardiac Life Support Certified
- Board Certified in American Board of Podiatric Medicine
- Boards Qualified in Rearfoot and Foot Surgery
Awards
- Barry University School of Podiatric Medicine Merit Scholarship
- Barry University School of Podiatric Medicine Dean’s List
Publication:
Derosiers, A., Mehta, M. Limb salvage protocol for complicated wounds/ MDRO Infections: The use of irrigating NPWT and Dakin’s solution
- The main objective of the study was to examine the impact of NWPT-i V.A.C VeraFloTM Therapy with instillation of 0.125% Dakin’s solution for MDRO.
- Results of this study demonstrated successful elimination of MDRO bacteria and no subsequent amputations in all cases using NPWT-i and Dakin’s solution.
Comerota, A., Lurie, F., Acino, R., Mehta, M. Placement of Inferior Vena Cava Filters in a Real-World Setting Using the American Venous Forum Filter Registry. Journal of Vascular Surgery: Venous and Lymphatic Disorders. 01/2014; 2(1):118. DOI: 10.1016/j.jvsv.2013.10.045
State-of-the-art Treatment Facility





Our Podiatric Facility
While our doctors are key to the success of our facility and the health of our patients, having a well-appointed and modern facility is also a very important factor. Not only does it make the experience more comfortable for our patients but also supplies our doctors with the best treatment tools possible.
Our state-of-the-art podiatric facilities are in Brooklyn and Manhattan and conveniently located for residents in Downtown Brooklyn, Lower, Midtown and Upper East Side Manhattan, the East Village, Greenwich Village or Murphy Hill.
Our quality of care is considered among the finest in the country, and with the technology and expertise to back it up, our patients find the relief they are seeking. Connect with our offices today to take the first step toward foot pain relief.
Our Blog
Latest Articles & Insights
Discover helpful tips, expert advice, and news to keep your feet healthy and pain-free.